

彩超是彩色的吗?是不是可以
清楚的看到宝宝了?
彩超并不是彩色的,只是分辨
率上比黑白B超略高一些。要
想清楚的看到宝贝,可以选择
三维、四维彩超。



怀孕对于许多准妈妈来说都是一件非常新奇的事情,充满了许多的期待、好奇。经常可以碰到许多孕妈咨询B超相关的问题,彩超为什么不是彩色的?三维、四维有什么区别?哪个更加的清洗?做B超对宝宝有没有影响等问题,那么今天彩虹奶爸就给大家科普一下关于B超的那些事儿。

No.1
什么是B超
B超就是利用超声波了解体内结构的一种观察仪器。原理就是发射超声波,超声波遇到屏障会产生回声,不同的屏障回声的方式也不同,于是利用电脑收集这些回声,转化为相应的图像在屏幕上显示出来,可以起到观察内部脏器的作用。
我们一般说的B超,指的是是一种普通二维超声,图像是黑白的,能观测到胎儿的组织结构。

No.2
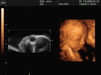
什么是彩超
彩超也是一种二维超声B超,但是需要知道的是,它并不是彩色的,依旧是黑白,之所以叫彩超是因为会用彩色标注心脏、血流等指标,可以方便医生的检查,更好的观察胎儿是否异常。在清晰度这一块儿,彩超的分辨会比B超略高一些。

No.3
什么是三维彩超
三维彩超是在二维超声的基础上,利用计算机再处理技术达到立体模式重建的超声诊断技术,能看到胎儿的立体图形。

No.4
什么是四维彩超
四维彩超就像摄像机拍摄的VCR,在三维B超的基础上加上了时间轴,就像是摄像机所拍摄到的画面,是动态的宝宝。所以才会出现人们所说的可以看到胎儿在体内打哈欠的全过程的情况。
三维彩超、四维彩超的图像则是后期生成的,并不是说观察到的图像就是三维、四维的,而是仍然用普通彩超观察,然后通过仪器中的转换软件将观察到的平面图像转成三维、四维的立体图像。

No.5
B超对宝宝有影响吗
很多准妈妈担心做B超检查会对腹中胎儿不利,但孕期检查一般至少要做3-5次的B超。其实利用B超进行正规的医疗检查是对胎儿无害的。
虽然理论上说,孕早期将B超探头放在胚胎位置停留15分钟以上,可能会对胚胎发育造成影响,但正规的检查是不会持续这么久的,而过了头三个月的发育期,超声波对胎儿就无害了,对听力更不可能有害,因为B超发射的超声波是无法被人体察觉的范围。更不存在什么“辐射”之说,声音怎么会有“辐射”?所以要相信科学,不要听信民间传言哦,孕期检查非常有必要,不能漏检!

No.6
B超误区,越贵越好?
B超这一块儿,存在着许多认知误区,首先B超并不是越贵越好,我们做B超的目的是对婴儿进行一个检查,例如排查畸形儿,所以根据自己的需要,目的进行选择即可。一般的检查有二维、三维足够了,医生可以看懂,如果你想要更清楚看到宝贝生长发育情况的话,则可以选择三维、四维。

No.7
彩虹奶爸总结
四种B超的医学原理;利用超声反射成像对身体进行检查
四者区别;
1、普通B超;黑白照片
2、彩色B超;黑白照片,但心脏、血流会标记为彩色的
3、三维彩超;立体的彩色照片,静态的
4、四维彩超;摄像机所拍摄的VCR,动态的

